Servicios

  • Accidentes Cerebro Vasculares
    Rehabilitación para la recuperación de la movilidad tras ictus tanto hemorrágicos como obstructivos.

     
  • Posterior a cirugía reconstructiva
    Rehabilitación tras procesos quirúrgicos posteriores: rotura de ligamentos, meniscos, ostoscopia general o reconstrucción de fracturas múltiples…
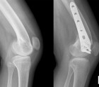
  • Tras colocación de protesis
    Tratamientos de rehabilitación para la recuperación total funcional de la articulación sustituída.

     
  • Lesiones de columna y musculares
    Lumbalgias, hernias de disco, contracturas musculares, roturas de fibras, etcétera.


     
  • Lesiones articulares y ligamentosas
    Esguinces, luxaciones, inflamación de cartílago, tendinitis o tendinosis, artrosis…